키 수술을 받고 실제 키와 연장된 길이의 차이가 궁금한 환자들이 많이 있다. 이 부분에 대해서 자세히 한번 설명해보고자 한다. 여기서 생각해야 될 부분이 2가지인데, 한 가지는 우리가 엑스레이상 측정한 길이가 실제 길이와의 차이가 있는지가 제일 먼저 궁금한 점인데, 최근 사용하는 영상 촬영 장비들은 실제 길이에 적용시키는 프로그램들이 있어서 실측이 가능하다.
길이 측정은 키 수술에서보다 관절 수술에서 더 중요할 수 있는데 , 고관절 인공관절 수술 같은 경우는 길이가 좀 짧게 들어가는 경우 관절이 빠지는 큰 문제가 발생하기도 하며, 좀 길게 들어가는 경우 통증이 심하게 남는 경우들이 있어 길이 측정은 정형외과에서 아주 중요한 부분이다.
척추수술 시에 사용하는 고정나사도 마찬가지로 나사의 길이와 두께 등은 수술 전에 미리 MRI를 통해서 측정하며, 이 뿐만이 아니고 정형외과에서 수술 전 계획에 이 길이의 측정은 아주 중요하며, 이때는 실측과 비교해서 오차가 없어야 한다.
이런 영상보정 장치를 통해서 측정하기 때문에 하지 연장 환자들이 생각하는 것과 다르게 엑스레이상 길이는 특히 키 수술 후 연장 길이의 측정이 실제 연장과 같다고 생각하는 것이 맞다.
어느 병원에서는 7센티를 연장해야 6센티로 본다?는 이야기를 하는 환자들도 종종 만났었는데 실제 보정을 하지 않으면 엑스레이상 약 14-15% 정도 크게 측정되는 건 맞는 이야기인데, 영상 보정 장치를 이용하면, 10센티 자를 엑스레이상 보정하여 측정하면 정확히 10센티로 측정된다. 그렇기 때문에 7센티를 연장하기 위해서 실측 8센티를 연장하려 한다면 불필요한 고통과 문제점들을 만날 수 있다는 점을 이야기하고 싶다.
우리 병원에서는 키 수술, 하지 연장 수술을 받는 모든 환자들에게 수술전 검사로 전신 척추 엑스레이 검사를 시행하고 있는데 측만증은 생각보다 유병률이 높고, 정도가 심한 환자부터 무증상이지만 생각보다 측만이 심한 환자들이 많이 있다.
측만증이 있는 경우 키 측정에서 연장된 하지 길이와 상관없이 차이가 있을수 있기 때문에 측만이 있는 환자들은 이 부분을 생각해야 하며, 키 수술과 더불어 자세 교정과 상지 근력 균형을 잡는 부분도 병행되어야 할 수 있다. 실제로 측만증이 있는 환자에서 6-7센티 연장을 하고도 5센티 정도의 연장으로 느낄 수 있는데 실제 수술 환자의 사진을 보면 이해에 도움이 될 수 있다.
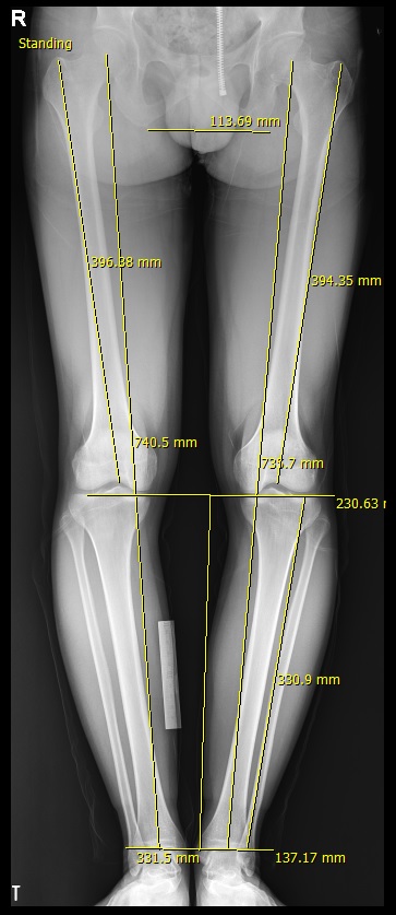
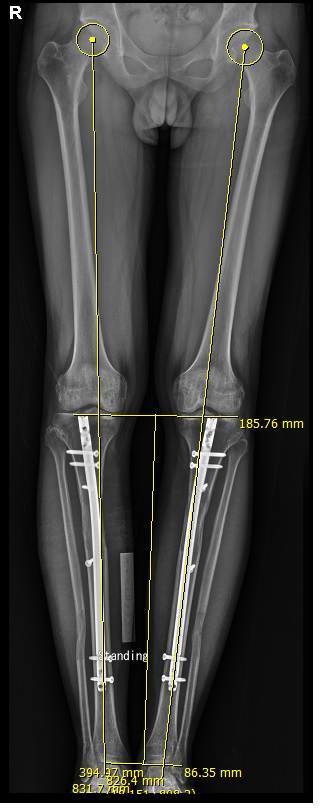
아래 사진을 보면, 수술전 종아리의 길이는 실제로 331mm로 측정되는데, 이는 영상 보정을 옆의 금속자 10cm를 기준으로 보정한 상태이며, 수술 후 종아리의 길이는 실제로 395mm로 64mm의 연장이 된 상태이다. 수술 후 사진에서 10cm 금속자를 이용해서 보정한 사진이다. 실제 이 환자의 척추 사진인데 측만증이 흉요추부에 있어 키 측정에서 오차를 나타낼 수 있다.
즉 다리는 길어지지만, 상체에서 차이가 측정 시마다 시기마다, 시간이 지날수록 차이를 나타낼 수있다.


종아리 속성 연장 수술 환자의 수술 전후 엑스레이 사진으로 종아리 길이가 영상 보정 후 331mm에서 395mm로 측정된다. 64mm 연장 사진으로 6.4cm 연장된 사진이며, 이는 실측과 오차가 없다고 생각할 수 있다.


연세김앤정정형외과
키크는수술, 하지연장술, 프리사이스, 광명정형외과, 광명 신경외과, 철산 정형외과, 철산 신경외과, 광명 관절척추, 철산역 1번출구
kc-os.co.kr
'키커스' 카테고리의 다른 글
| 키 수술 프리사이스와 속성 연장 비교 (1) | 2022.11.22 |
|---|---|
| 키 수술 동시 연장 어떤가? (2) | 2022.11.16 |
| 키 수술 허벅지 프리사이스 소요 기간 (0) | 2022.09.13 |
| 키 수술, 하지연장수술 시 필요한 재활치료 (0) | 2022.08.31 |
| 키 수술, 키 크는 수술 연세김앤정정형외과 (0) | 2022.08.23 |

